〒242-0021 神奈川県大和市中央1-1-25-1階
小田急江ノ島線・相鉄線「大和駅」より徒歩1分

電話での問合せ・無料相談予約

0120-425-824
診療時間
月~金 9:30~19:00
土・日・祝日  9:30~13:30/14:30~18:00
休診日
なし
  • 大和で歯を抜かない矯正治療をおすすめする大和駅前ファミリー歯科の理事長。Smile TRU公式インストラクターが月々4,700円から始められるマウスピース矯正を提供

大和で矯正歯科・歯列矯正なら
大和駅前ファミリー歯科

大和で人気の矯正歯科・大和駅前ファミリー歯科の内観

歯を抜かずに理想の歯並びを手に入れたい——そんな願いをお持ちのあなたへ、私は矯正経験者として、そしてマウスピース矯正Smile TRUで全国1位(※1)の歯科医師として、歯並びに合わせた治療法をご提案します。費用は月々4,700円〜9,200円です(※2)。

大和駅から徒歩1分の好立地に加え、土日祝も診療。お仕事や学校で忙しい方も無理なく通院いただけます。

※1 2025年現在
※2 120回払いの場合

矯正歯科の診療案内

整った見た目になりたい。歯を抜きたくない。

当院はあなたのご希望を元に、歯並びの状態やライフスタイルに応じて最適な歯の矯正方法をご提案いたします。

透明な装置で周囲に気づかれにくく、食事や歯磨きの際は取り外し可能。ワイヤー矯正に比べて痛みが少なく、金属アレルギーの心配もありません。

歯の表面に装置を装着します。幅広い症例に対応できるのが特徴です。

気になる前歯だけを短期間で整える方法です。費用が安く済みやすいメリットもあります。

難しい症例でも、マウスピース矯正で理想的な歯並びを目指せます。

どの歯並びでお悩みですか?

ひと口に「歯並びが悪い」と言っても、そのタイプはさまざまです。各種の不正咬合に幅広く対応していますので、まずはあなたのお悩みをお聞かせください。

口元が前に出ている口ゴボ(上下顎前突)のイラスト

口ゴボ
(上下顎前突)

上下の前歯が前方に突出している状態

上の前歯が前方に突出した出っ歯(上顎前突)のイラスト

出っ歯
(上顎前突)

上の前歯が大きく前に出ている状態

犬歯が歯列から飛び出している八重歯のイラスト

八重歯

犬歯が外側にはみ出し、重なっている状態

下の歯が上の歯より前に出る受け口・しゃくれ(反対咬合・下顎前突)のイラスト

受け口・しゃくれ
(反対咬合・下顎前突)

下の歯が上の歯より前に出ている状態

歯が重なりガタガタになっている叢生・乱杭歯(ガチャ歯)のイラスト

叢生・乱杭歯
(ガチャ歯)

歯が重なり合いデコボコに生えている状態

開咬で前歯が噛み合わない(オープンバイト)イラスト

開咬
(オープンバイト)

奥歯を噛んでも前歯が閉じない状態

噛み合わせが深くなる過蓋咬合(ディープバイト)のイラスト

過蓋咬合
(ディープバイト)

上の歯が下の歯を深く覆いかぶす状態

上下の前歯同士がぶつかる切端咬合のイラスト

切端咬合

上下の前歯の先端がぶつかり合う状態

当院が選ばれる
4つの理由

Reason
大和で矯正歯科が人気の大和駅前ファミリー歯科の外観

矯正治療は期間が長くなるもの。だからこそ、最後まで続けやすい体制と環境がとても重要です。

私たちが患者さまから信頼いただいている理由は、確かな技術力と一人ひとりに寄り添う姿勢、そして無理のない料金体系にあります。

Reason01

累計800症例以上の実績で
歯列矯正をサポート

大和の歯列矯正でおすすめのポイントを説明する理事長

当院で歯列矯正を担当するのは、10年以上(※)にわたって歯並びの治療に注力してきた理事長です。

ワイヤー矯正300症例、マウスピース矯正500症例、累計800症例以上を手がけてきました(※)。

性格が一人ひとり違うように、お口の状況や歯並びも患者さまによって異なるもの。理事長の豊富な経験と知識をフル活用し、美しさと機能性の両立をめざします。口元を気にせず自然な笑顔で過ごせるようサポートしますので、歯並びでお悩みの方はぜひご相談ください。

※2025年現在

Reason02

公式インストラクターが診断・分析
治療計画を最適化

歯並びを治せる矯正歯科の証SmileTRUインストラクターの認定証

当院がおすすめするマウスピース矯正「Smile TRU」は、透明な装置と着脱の手軽さが特徴です。一見するとシンプルな治療法に見えますが、実はさまざまなコツ診断の肝が存在します。メーカーやシミュレーションの提案をそのまま採用するのではなく、歯科医師自身の診断分析細かく反映させ、より精度の高い治療計画を作成することが重要なのです。

理事長は、そんなSmile TRUの公式インストラクターです。このインストラクターは日本でわずか2名しかおらず、全国の歯科医師への技術指導を行っています。

同じマウスピースでも、計画の精度仕上がりは大きく変わりやすいもの。誰よりもSmile TRUを知り尽くした理事長が、丁寧な診断と精密な治療でゴールまで親身にサポートします。

Reason03

理事長もスタッフも
「矯正経験者」として寄り添う

大和で歯並び矯正に注力する大和駅前ファミリー歯科スタッフの集合写真

どんな分野でも初めての挑戦は怖いものです。そんなとき心強く感じるのは、先に経験した人の存在ではないでしょうか。

当院は理事長をはじめ、スタッフも多数が歯の矯正を経験しています。矯正を受けてみての感想はもちろん、装着時の違和感や日常生活での工夫など、実体験に基づいたアドバイスが可能です。

患者さまの不安や疑問に、経験者だからこそできる共感サポートでお応えします。

Reason04

月々4,700円から始められる
デンタルローン

大和で矯正歯科が安い理由を説明するスタッフ

矯正は興味あるけど、費用が…

そのようなお悩みを抱える方は少なくありません。そこで当院は、一度のお支払いをぐっと抑えられるデンタルローンを導入いたしました。

部分矯正なら月々4,700円全体矯正でも月々9,200円から(120回払いの場合)。デンタルローンをご利用になれば、まとまった初期費用なしで治療を開始できます。

費用面で歯列矯正を諦めていた方も、無理のない支払いで理想の歯並びを目指せるのではないでしょうか。

Level 1(ごく軽度の部分矯正)上下

治療費 45万円(上下) 月々4,700

Level 2(部分矯正)上下

治療費 70万円(上下) 月々7,300

Level 3(全体矯正)上下

治療費 88万円(上下) 月々9,200
  • 私の歯並びは矯正できれいに治る?
  • 治療費治療期間はどれくらい?
  • 歯を抜かずに治療できる?

歯科矯正をご検討中の方が抱える不安を一つでも解消して差し上げたい。その想いから当院では、30〜40分の無料相談を実施しています。最新の口腔内スキャナーを使用したシミュレーションで、治療後の歯並びをその場でご確認いただくことも可能。費用や期間についても詳しくご説明いたします。

まずは無料相談で、あなたの理想の歯並びへの第一歩を踏み出してみませんか。

歯列矯正の費用を抑えるために

矯正治療は高額なイメージがありますが、当院では患者さまの経済的負担最小限に抑える仕組みを整えております。

大和で、歯科矯正を少しでも安い費用で…とお考えの方のお役に立てるかと思います。

 

相談料・精密検査・診断料が0円

大和駅前ファミリー歯科が安く矯正治療を提供しているイメージ

歯の矯正は治療費を気にしてしまうのが自然ですが、意外と見落としがちなのが関連費用です。

ここでの関連費用とは、初回の相談料、その後の精密検査費用、そして治療計画作成のための診断料などのこと。これらを含めると「思っていたより高額になってしまった」というケースは珍しくありません。

一般的に別途請求されることの多い各種費用を、当院では治療費に含めて実質無料といたしました。例えばマウスピース矯正なら治療費+月々の調整料(2,750円)だけで理想の歯並びを目指すことが可能です。

リテーナー代まで含めた治療費

透明なリテーナー装置をつける女性

実は歯並びが整っても矯正治療は終わりではありません。その後の「後戻り」を防ぐための保定という処置が必要です。リテーナーとはこの処置に用いる保定装置のこと。

当院ではリテーナー代も、最初にご提示する治療費に含めています。追加料金を心配することなく保定期間を過ごし、最後まで安心して治療を受けていただけることでしょう。

医療費控除の活用もおすすめ

大和で歯の矯正を安い費用に抑える医療費控除のイメージ

歯列矯正は医療費控除の対象となる場合があります。

例えば年収360万円の方が45万円の治療を受けた場合、約10.5万円還付され、実質34.5万円の負担で済みます(概算)。

確定申告の手続きは必要ですが、トータル支払額の減額、そして大幅な節税効果が期待できるため、ぜひご活用ください。

歯の矯正治療は定期的な通院が必要だからこそ、アクセスの良さ現実的に通える診療時間が重要です。当院には、皆さまが無理なく通院できる環境が整っています。

小田急江ノ島線・相鉄線「大和駅」の改札から徒歩わずか1分。雨の日でもほとんど濡れることなく通院できます。駅前の好立地なので、お仕事帰りやお買い物のついでにも立ち寄りやすく、治療を途中で止めてしまうリスクを減らせるはずです。

また、お車でお越しの方のため、提携駐車場もご用意しております。

住所
〒242-0021
神奈川県大和市中央1-1-25-1階

診療時間
9:30~19:00

▲:9:30~13:30/14:30~18:00

平日は19時まで長めの診療時間としています。さらに土曜・日曜・祝日も18時まで診療しているのが特徴です。

学校・お仕事終わりの平日や、スケジュールに余裕のある週末にゆっくりと治療を受けていただけます。

当院の矯正歯科の特徴

Feature

患者さまに自然な笑顔を手に入れていただきたい。その想いから技術力配慮、そして総合的な治療体制を整えました。これらすべてが揃っているからこそ、大和の皆さまに自信を持って歯科矯正をおすすめいたします。

非抜歯を重視した矯正プランを提案

大和の矯正歯科で非抜歯矯正で歯並びを改善できて納得の女性

健康な歯はできる限り残したい。これは患者さまだけでなく、当院の想いでもあります。

その理想を実現させるため、奥歯を後方に移動させてスペースを確保する非抜歯矯正を積極的にご提案。大切な歯を抜かず、歯並びをきれいに整えることを第一の選択肢にしています。

マウスピース矯正だけではない
総合的な治療方針

大和駅前ファミリー歯科の理事長が治療する様子

マウスピース矯正は患者さまのメリットが多く、当院としてもおすすめの治療法です。しかし場合によっては他の治療法のほうが最適な結果につながりやすいことも。

そうしたケースでは、ワイヤー矯正やアンカースクリューを使った治療もご提案に含めています。複数の矯正法で多くの実績を持つ理事長だからこそ、患者さまにとってのベストを考えた総合的な治療計画を立案いたします。

未来の変化を確認できる
無料シミュレーション

矯正前と矯正後の歯並びをシミュレーションで比較するイメージ

「歯列矯正でどれくらい歯並びが整うんだろう」というご不安を解消できるよう、治療前・治療後の変化シミュレーションしています。

治療後の歯並びを事前に確認することで最終的なゴールをイメージできますので、治療へのモチベーションになるでしょう。シミュレーションは無料相談時に実施可能です。

歯列矯正と並行して
虫歯・歯周病予防をサポート

大和で歯科矯正中の虫歯や歯周病予防が人気の当院の受付

矯正治療中は虫歯や歯周病にかかりやすい、という事実をご存知でしょうか。これは矯正装置によって歯磨きをしづらくなったり、唾液の循環が妨げられることが主な要因です。

当院は一般歯科治療も行う総合歯科医院ですので、虫歯や歯周病の予防にも長けています。矯正治療中も定期的なクリーニングを実施。トラブルの種事前に摘んでいきますので安心してお任せください。

歯並び矯正のビフォーアフター
当院の症例実績

Case introduction

当院で実際に矯正治療を受けられた方々の例をご紹介します。矯正前矯正後変化を、ぜひご確認ください。

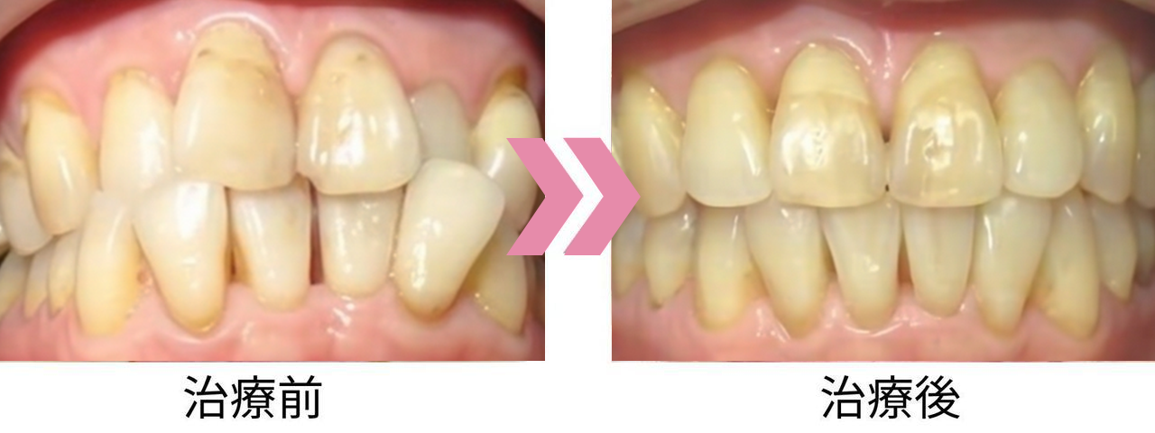
ガタガタの歯並び(叢生)・30代女性

ガタガタの歯並び(叢生)の治療前後比較写真
主訴 前歯の歯並びが気になる
治療内容 smile TRU
治療費 720,000円(税込)
治療期間・回数 1年6ヶ月・26回
リスク・副作用 マウスピース矯正は装着時間が不足すると、計画通りに歯が動かず治療期間が延びることがあります。
治療初期や新しいマウスピースに交換した直後は、締め付けられるような違和感や痛みを感じることがあります。(歯が動く正常な反応なので心配ありません)

※治療当時の費用です

出っ歯・20代女性

出っ歯の治療前後比較写真
主訴 上の前歯が出ている
治療内容 smile TRU
治療費 560,000円(税込)
治療期間・回数 11か月・22回
リスク・副作用 マウスピース矯正は装着時間が不足すると、計画通りに歯が動かず治療期間が延びることがあります。
治療初期や新しいマウスピースに交換した直後は、締め付けられるような違和感や痛みを感じることがあります。(歯が動く正常な反応なので心配ありません)

※治療当時の費用です

受け口・40代女性

受け口の治療前後比較写真
主訴 下の歯が出ている
治療内容 smile TRU
治療費 620,000円(税込)
治療期間・回数 1年3ヶ月・26回
リスク・副作用 マウスピース矯正は装着時間が不足すると、計画通りに歯が動かず治療期間が延びることがあります。
治療初期や新しいマウスピースに交換した直後は、締め付けられるような違和感や痛みを感じることがあります。(歯が動く正常な反応なので心配ありません)

※治療当時の費用です

年代別
おすすめ矯正治療

20代向け歯科矯正おすすめ治療の詳細ページへのリンク

20代の矯正治療

就職活動など新たなステージを控えた大切な時期に

30代向け矯正歯科治療の詳細ページへのリンク

30代の矯正治療

仕事でもプライベートでも自信を持ちたい世代に

40・50代向け矯正歯科治療の詳細ページへのリンク

40・50代の矯正治療

健康寿命の大切さが分かる大人の選択として

60代向け矯正歯科治療の詳細ページへのリンク

60代の矯正治療

いつまでも健康な歯で食事を楽しむために

当院おすすめの
歯列矯正

Menu

透明な装置を使用
マウスピース矯正

対応幅の広い
ワイヤー矯正

健康な歯を抜かない
非抜歯矯正

気になる前歯だけ
部分矯正

難症例にも対応
アンカースクリュー

歯列矯正の進み方

Flow
無料相談カウンセリングのイメージ
無料相談
カウンセリング
大和駅前ファミリー歯科が導入するセファロ
精密検査
治療計画を患者に説明する理事長
治療計画
大和の歯列矯正で人気の契約書に記入するイメージ
ご契約
プライバシーが守られた診療室
治療開始
歯科矯正の経過観察中に口腔内チェックを受ける様子
治療の経過観察
歯の矯正後に笑顔を見せる女性の口元
治療終了
保定期間中に使用するリテーナー
保定期間に移行

よくあるご質問

矯正治療を検討される方の多くが気になる疑問について、わかりやすくお答えします。

矯正治療はいくらくらいですか


マウスピース矯正の場合、部分矯正で45万円、軽度〜中等度の全体矯正で70万円、重度の全体矯正で88万円となります。ワイヤー矯正は74万5千円です。

これらの金額には精密検査費診断料リテーナー代含まれており、マウスピース矯正の場合は来院ごとに調整料2,750円がかかります。デンタルローンをご利用の場合は月々4,700円〜9,200円と、より無理のないペースで治療を受けられます。大和で歯列矯正を安い費用で…と希望される方に人気です。

詳しい費用については、無料相談で歯並びの状態を確認した上で、正確な見積もりをご提示いたします。大和で費用を抑えて矯正治療を始めたい方は、ぜひご相談ください。

歯列矯正の治療期間はどれくらい?


歯並びの状態と選択する治療法によって異なりますが、部分矯正なら3か月〜10か月、全体矯正では1年半〜2年半が目安です。

具体的な期間を知りたい方は、無料相談をご利用ください。お口の状態を詳しく診察した上で、あなたの歯並びに必要な治療期間の目安をお伝えします。

矯正治療には痛みがありますか


マウスピース矯正は歯を少しずつ段階的に動かすため、ワイヤー矯正と比べて痛み少なめです。新しいマウスピースに交換した直後は締め付け感を感じることがありますが、通常2〜3日で慣れてきます。痛みを抑えて歯の矯正を行いたい方におすすめです。

当院は理事長やスタッフの多くがマウスピース矯正の経験者ですので、痛みへの対処法や日常生活での工夫について、実体験に基づくアドバイスが可能です。痛みに不安がある方も、どうぞ安心してご相談ください。

マウスピース矯正とワイヤー矯正は
どう選べばいいですか


どちらの治療法にも特徴があり、患者さまの歯並びやライフスタイルによって最適な選択は変わります。

マウスピース矯正は透明で目立たず取り外し可能なので食事や歯磨きが楽にできます。痛みも少なく、金属アレルギーの心配もありません。ただし、毎日決められた時間以上の装着が必要です。

ワイヤー矯正は軽度から重度まで幅広い症例に対応でき、装着時間の自己管理が不要な分、治療が計画通り進みやすい傾向があります。複雑な歯の移動にも対応可能です。

当院では患者さまのご希望をお聞きした上で、歯並びの状態に合わせて最適な治療法をご提案しています。

矯正中に虫歯が見つかったらどうなりますか


当院は総合歯科医院ですので、矯正治療と並行した虫歯治療が可能です。

マウスピース矯正なら装置を外して通常通り虫歯治療ができます。ワイヤー矯正でも、小さな虫歯なら装置をつけたまま、または部分的に外して治療が可能です。

矯正中も定期的にお口の健康状態をチェックし、必要に応じて予防処置も行っていますので、安心して治療を続けていただけます。

矯正後の後戻りは防げますか


矯正治療直後は歯が元の位置に戻ろうとする力が働くため、リテーナー(保定装置)の装着が不可欠です。

リテーナーを指示通りにご使用いただければ、後戻り防いで美しい歯並びを維持できます。当院では5年間の保定期間を設け、3か月ごとの定期チェックを推奨しています。

ただし、加齢や生活習慣により多少の変化が生じる可能性もあるため、矯正後も定期的な歯科検診を受けていただくことをおすすめします。

大和で多数の実績を誇る理事長

はじめまして。大和駅前ファミリー歯科 理事長の土屋 新太郎(つちや しんたろう)と申します。

―歯並びが気になって笑えない。
―人と話すとき口元を隠したい。
―写真を撮られたくない。
―自分の笑顔が好きじゃない。

こうした方々のお役に立ちたいと考え、当院では矯正治療に力を入れています。

私自身、35歳の時にマウスピース矯正を経験しました。 それまでの私は、どこか口元にコンプレックスを抱えていましたが、歯並びが整うにつれて笑顔に自信が持てるようになり、人と接することが以前よりもずっと楽しくなったのです。人生が前向きに変わるこの感動を、今まさに悩んでいる皆さまにもぜひ味わっていただきたい――。その想いが、私の日々の診療の原動力です。

矯正治療は、単に見た目を整えるだけのものではありません。噛み合わせを正すことは、頭痛や肩こり、顎関節症といった全身の不調の改善にもつながり、生涯の健康を守ることになります。

だからこそ、私は治療の「質」にこだわりたいのです。経験と知識を活かし、責任を持って一人ひとりの患者さまに最適な治療計画を立案いたします。また、「健康な歯を抜きたくない」という切実な想いにも全力でお応えします。

まずは無料相談で、あなたのお悩みをお聞かせください。 かつての私がそうだったように、矯正治療はあなたの未来を明るく変えるきっかけになるはずです。 スタッフ一同、ご相談を心よりお待ちしております。

プロフィール

経歴

  • 2008年 神奈川歯科大学 卒業
  • 2009年 海老名総合病院歯科 歯科口腔外科研修 修了
  • 2009年 広域医療法人の歯科医院 副院長 勤務
  • 2015年 大和駅前ファミリー歯科 開院
  • 2017年 医療法人エスティーアドバンス 理事長就任

資格 

  • 歯科医師
  • Cfoo公認Smile TRUインストラクター
  • 厚生労働省臨床研修指導医
  • 臨床歯科麻酔管理指導医
大和の矯正歯科としておすすめの提案をする理事長

悩みとは、一人ではなかなか解決できないものです。「やっぱりそうだよね」と背中を押してもらうのも、「そうだったのか!」という気付きも、誰かとの対話から生まれることが多くあります。

あなたが歯並びでお悩みでしたら、ぜひ当院の無料相談をご利用ください。じっくりとお話を伺い、解決策を一緒に考えます。治療費治療期間など具体的な目安もご案内可能です。

無料相談を利用したからといって、必ず当院で治療を開始しなければいけないわけではありません。お気軽にご予約いただき、お話を伺えましたら幸いです。

診療時間

  日祝
午前
午後

○:9:30~19:00
▲:9:30~13:30/14:30~18:00
休診日:なし

〒242-0021
神奈川県大和市中央1-1-25-1階